Science Magazine | AAAS: Science Advances

RAD51C-XRCC3 complex regulates FANCM-mediated R-loop resolution to safeguard genome integrity | Science Advances

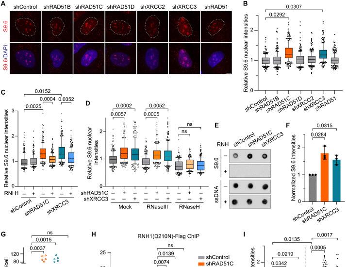
RAD51 paralog CX3 complex distinctly participates in R-loop resolution and fork maintenance to safeguard the replicating genomes.
favicon
science.org
science.org
Image for the article: RAD51C-XRCC3 complex regulates FANCM-mediated R-loop resolution to safeguard genome integrity | Science Advances